Lompat ke konten Lompat ke sidebar Lompat ke footer

View Bone Graft Showing Through Gum US

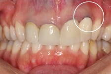
View Bone Graft Showing Through Gum US. Exposed bone in mouth after a graft is many times normal. Bone graft showing through gums.

Regenerate Gum And Bone General Family And Cosmetic Dentist Racine Wl
Regenerate Gum And Bone General Family And Cosmetic Dentist Racine Wl from gp-assets-1.growthplug.com
A bridge is a minimum of 3 teeth's worth of procedure: the. Why, when, and what to. Periodontal bone grafting and guided bone regeneration are two surgery procedures often necessary for patients who have suffered extensive jaw bone loss.

A gum graft, also called a gingival graft, is a periodontal surgery that corrects receding gums.

Is it because of periodontal disease? No cutting gum graft with pinhole surgical procedure. A bridge is a minimum of 3 teeth's worth of procedure: the. Why, when, and what to.

Posting Komentar untuk "View Bone Graft Showing Through Gum US"